Home > Biologie > System > Eukaryoten > Amorphea > Obazoa > Opisthokonta > Holozoa > Filozoa > Choanozoa > Choanoflagellata

Choanoflagellata

Kragengeißeltierchen

Die Kragengeißeltierchen sind einzellige Lebewesen, die eine starke Ähnlichkeit mit den Kragengeißelzellen der Schwämme haben. Daher werden sie als die engsten Verwandten der vielzelligen Tiere angesehen. Man nimmt sogar an, dass die Kragengeißeltierchen die Vorfahren der Metazoa sind; diese Hypothese ist allerdings umstritten.

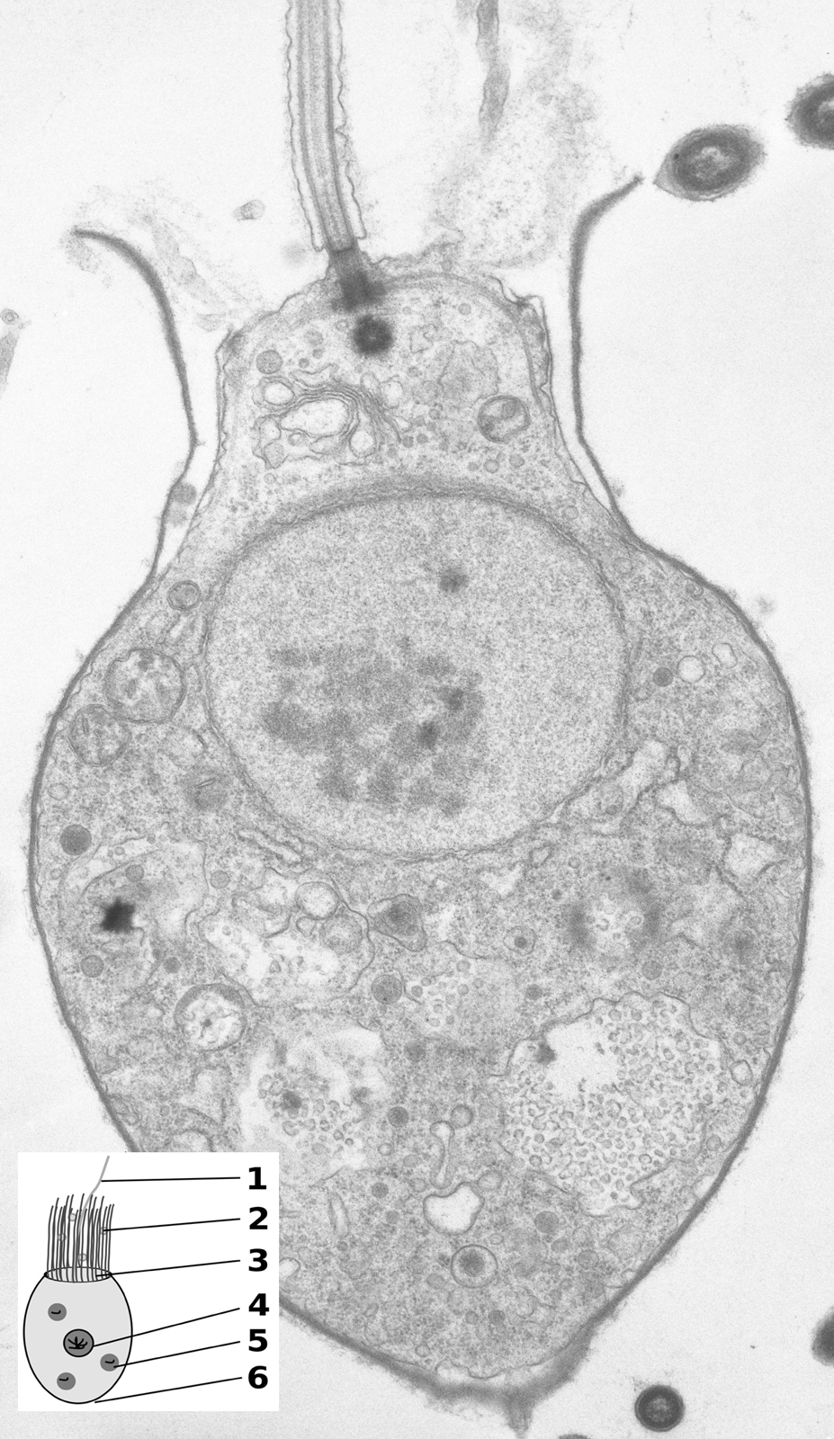
Eine Kragengeißelzelle
EM-Bild: Sergey Karpov, CC BY-SA 3.0, via Wikimedia Commons
Zeichnung: Sundance Raphael 22:35, 26 January 2007 (UTC), CC BY-SA 3.0, via Wikimedia Commons

Hier sehen wir das EM-Bild des Choanocyten Salpingoeca kombiniert mit einer Schemazeichnung, die den Aufbau eines Choanocyten zeigt. Dabei bedeuten:

1 Geißel (Flagellum), 2 Nahrungteilchen, 3 Mikrovilli, 4 Zellkern, 5 Nahrungsvakuole und 6 Basis.

Choanoflagellaten sind nur um 10 µm groß und damit verhältnismäßig klein für Protozoen. Charakteristisches Merkmal der C. ist der "Kragen" aus 30 bis 40 Mikrovilli, die eine einzelne Geißel kreisförmig umgeben, die aus dem Kragen herausragt. Mit dieser Geißel erzeugen die Einzeller eine Strömung, mit der Nahrung in den Kragen hineingestrudelt wird.

Neben vielen einzelligen und frei im Wasser lebenden Arten gibt es auch sessile Arten, die einen Stil ausgebildet haben, mit dem sie an einem Substrat festsitzen. Manche Arten bilden auch Kolonien, sind also mehrzellig.

Zeichnung einer Choanoflagellaten-Kolonie von Metchnikoff, 1886.
Iliá Méchnikov, Public domain, via Wikimedia Commons

Choanoflagellata

Auf dieser Seite der engl. Wikipedia finden Sie noch einige weitere Informationen zu diesem Taxon.

Choanoflagellaten als Vorläufer der Metazoa?

Sind die Choanoflagellaten die Vorläufer der vielzelligen Tiere? Einige Fakten sprechen dafür. So enthalten die Schwämme, die lange Zeit als die einfachsten und ursprünglichen Vielzeller galten, in ihrer inneren Gewebeschicht Choanocyten, die genau so aussehen wie die freilebenden Choanoflagellaten. Bereits Dujardin, ein französischer Biologe, bemerkte 1841 die aufällige Ähnlichkeit zwischen den freilebenden Choanoflagellaten und den Choanocyten der Schwämme und schlug vor, dass die Schwämme aus Choanoflagellaten-Kolonien, ähnlich wie in Abbildung 2 hervorgegangen sind.

Durch moderne molekulargenetische Untersuchungen hat man 2008 herausgefunden, dass die Choanoflagellaten unter den lebenden Organismen am engsten mit Tieren verwandt sind, quasi die Schwestergruppe der Metazoen sind.

Die Choanocyten von Schwämmen haben die gleiche Grundstruktur wie Choanoflagellaten. Choanocyten kommen auch in anderen Tiergruppen vor, beispielsweise bei Bandwürmern. Daraus kann man schließen, dass bereits der gemeinsame Vorfahr aller Metazoen Choanocyten besaß.

Wann sich dieser gemeinsame Vorfahr von den Choanoflagellaten getrennt hat (Artaufspaltung), lässt sich nicht leicht bestimmen. Man geht davon aus, das diese Aufspaltung im späten Präkambrium ablief, also vor mehr als 600 Millionen Jahren.

Schwämme

Diese Seite in der Zoologie-Abteilung stellt die Porifera (Schwämme) näher vor.