Karyogramme
Zur Identifikation von Chromosomen- oder Genommutationen erstellt man Karyogramme der betroffenen Personen. Darunter versteht man eine lichtmikroskopische Aufnahme von Mitose-Chromosomen, die anschließend so verarbeitet wird, dass die 46 Chromosomen des Menschen nach ihrer Größe abnehmend paarweise angeordnet sind. Früher musste man das mühsam mit Schere und Klebstoff machen, heute übernehmen Computerprogramme diese Aufgabe.
Nun unterscheiden sich die einzelnen Chromosomen aber gar nicht so sehr in ihrer Größe, so das es oft schwer fällt, die Chromosomen zu unterscheiden.

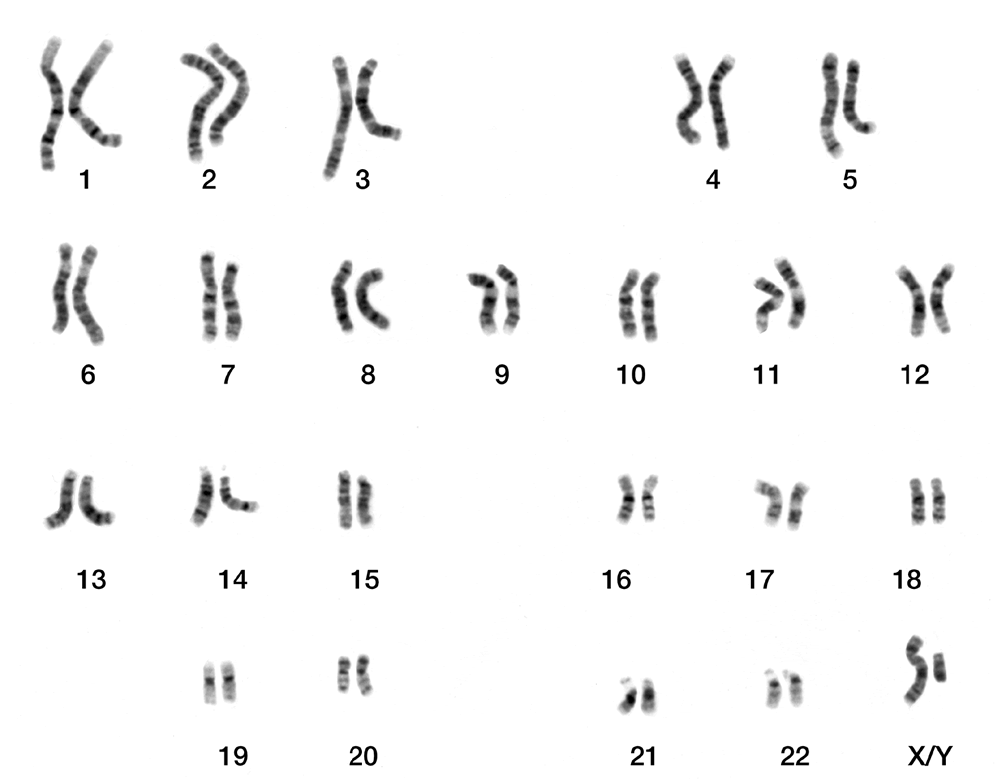
Karyogramm eines Mannes
See page for author, Public domain, via Wikimedia Commons
Auf diesem Karyogramm eines Mannes sehen sich beispielsweise die Chromosomen 1 bis 3, 4 bis 5, 8 bis 12 und so weiter zum Verwechseln ähnlich, es fällt sehr schwer, die ungefärbten Chromosomen auseinander zu halten. Die Chromosomen auf diesem Bild sind zwar gefärbt, so dass man einzelne Banden erkennen kann, trotzdem muss man schon genau hinsehen, um zum Beispiel Chromosom Nr. 16 von Nr. 17 zu unterscheiden.
Auf dieser Lexikon-Seite finden Sie weitere Infos zum Thema Chromosomen.
Färbung der Chromosomen-Banden
Giemsa-Färbung
Die Giemsa-Färbung wurde 1904 von dem Hamburger Chemiker Gustav Giemsa eingeführt, um bestimmte Gewebe zu färben. Chromosomen werden durch den Giemsa-Farbstoff (ein Gemisch aus verschiedenen Farbstoffen wie Azur-B-Eosinat, Methylenblau-Eosinat u.a.) einheitlich dunkel gefärbt, so dass man sie im Lichtmikroskop besser erkennen kann. Ein Bandenmuster tritt bei der einfachen Giemsa-Färbung allerdings noch nicht auf [3].
1970 erst entdeckte man, dass bestimmte Bereiche der Chromosomen den Giemsa-Farbstoff nicht annehmen, wenn man die Chromosomen vorher mit Trypsin behandelt. Trypsin ist ein Gemisch aus drei Peptidasen, die Teile der Histone der Chromosomen abbauen. Auf diese Weise erhielt man unterschiedlich gefärbte Abschnitte auf den Chromosomen, das sogenannte Bandenmuster oder die Chromosomen-Banden. Die gefärbten Bereiche des Chromosoms bezeichnet man als G-Banden (für Giemsa), die nicht gefärbten Bereiche als R-Banden (für revers). Jedes Menschliche Chromosom hat ein spezifisches Bandenmuster, so dass man die Chromosomen "leicht" auseinander halten kann [2].
Fluoreszenz-Farbstoffe
Mit Fluoreszenz-Farbstoffen, die spezifisch an DNA-reiche Abschnitte binden, kann man ebenfalls ein Bandenmuster auf den Chromosomen erzeugen [1,2].

Anfärbung menschlicher Chromosomen mit einem grünen und einem roten Fluoreszenzfarbstoff
Andreas Bolzer, Gregor Kreth, Irina Solovei, Daniela Koehler, Kaan Saracoglu, Christine Fauth, Stefan Müller, Roland Eils, Christoph Cremer, Michael R. Speicher, Thomas Cremer, CC BY 2.5, via Wikimedia Commons
Diese Aufnahme zeigt menschliche Chromosomen, die mit zwei verschiedenen Fluoreszenzfarbstoffen gefärbt wurden, einem roten und einem grünen. Der grüne Farbstoff setzte sich vor allem an die sogenannten Alu-Sequenzen, der rote an besonders DNA-reiche Sequenzen. Alu-Sequenzen sind "eine Familie repetitiver (sich wiederholender) DNA-Sequenzen in Genomen von Primaten" [4].
Chromosomenfärbung durch Gensonden
Seit einigen Jahren schon hat man das komplette Genom des Menschen entschlüsselt. Man weiß nicht nur, auf welchem Chromosom sich jedes der ca. 21.000 menschlichen Gene befindet, sondern man kennt auch deren Basensequenzen.
Daher ist es recht einfach, RNA-Moleküle zu synthetisieren, die komplementär zu solchen Genen sind. Koppelt man ein solches RNA-Molekül dann mit einem Fluoreszenzfarbstoff, erhält man eine Gensonde. Diese Gensonde setzt sich dann an den komplementären Bereich eines Chromosoms, und im Lichtmikroskop leuchtet dieser Abschnitt dann farbig auf, wenn man das Präparat mit UV-Licht bestrahlt.
Um jedes menschliche Chromosom mit einem charakteristischen Farbmuster auszustatten, reichen im Prinzip 6 verschiedene Fluoreszenzfarbstoffe [5]. Natürlich braucht man deutlich mehr RNA-Moleküle, die mit den Farbstoffen gekoppelt werden. Jede Gensonde setzt sich dann an ihr komplementäres Gen. Auf diese Weise erhält man ein richtig "buntes" Karyogramm, jedes Chromosom hat ein eigenes Farbmuster, so dass man die Chromosomen sehr leicht unterscheiden kann [1].
Spektrale Karyotypisierung
Eine Weiterentwicklung der eben beschriebenen Methode ist die spektrale Karyotypisierung. Hier werden nicht nur sechs Farben eingesetzt, sondern jedes Chromosom wird mit einem eigenen Fluoreszenzfarbstoff markiert.

Eine Ausschnitt aus dem Science-Artikel zur Spektralen Karyotypisierung
Auf diesem Photo sehe ich mir gerade den Artikel zur Spektralen Karyotypisierung aus der Zeitschrift Science von 1996 [6] auf meinem Monitor an. Gut erkennen kann man die bunten ungeordneten und geordneten Chromosomen.
Quellen:
- Alberts, Bruce et al. Molekularbiologie der Zelle, 6. Auflage, Weinheim 2017.
- Wikipedia, Artikel "Chromosom".
- Wikipedia, Artikel "Giemsa-Färbung"
- Wikipedia, Artikel "Alu-Sequenz".
- "Fluoreszenz In Situ Hybridisierung" auf www.miszalok.de
- Schröck et al. "Multicolor Spectral Karyotyping of Human Chromosomes", Science Vol 273 vom 26. Juli 1996.